Radiografía de tórax: Técnica
La técnica: (de la placa para poderla interpretar)
Integridad de la imagen
Posición del foco
Posición del paciente
Grado de exposición o penetración
Grade de revelado
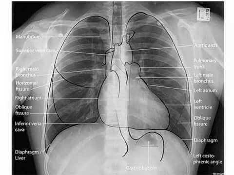
INTEGRIDAD DE LA IMAGEN
La radiografía esté completa: Cuando se encuentra
La laringe
Los senos costodiafragmáticos (se llaman así porque hace una angulación con las costillas)
El aire es radio-lucido es decir, que es negro
Las estructuras, órganos, es radio-opaco, es decir, es blancoPOSICIÓN DEL FOCO
Las dos condiciones para determinar un buen foco:
Los rayos deben incidir por el dorso a nivel de D6 que se evidencia que las articulaciones esternoclaviculares estén al nivel del tercer espacio intercostal
Las clavículas se observan en una posición oblicua hacia arriba

FOCO BAJO: (No está adecuado). Las clavículas se encuentran horizontales y hacia abajo.

POSICIÓN DEL PACIENTE
El paciente puede estar sentado, de pie, decúbito. Normalmente se toma de pie con el paciente inspirando
Para saber si el paciente está de pie, las apófisis espinosas de D3 deben estar iguales de las articulaciones esternoclaviculares
Borde medial de las clavicular deben proyectarse por FUERA del tórax
Grado de inspiración: la cúpula diafragmática derecha debe proyectarse sobre el 8 espacio intercostal

GRADOS DE EXPOSICIÓN O PENETRACIÓN
Mayor penetración: La radiografía se llama DURA o SOBREEXPUESTA; se llama así cuando la radiografía es más negra de lo normal y va a ver desaparición de las estructuras intermedias (vasos, paredes bronquiales)

Menor penetración: la radiografía se llama placa blanda; se llama así cuando la radiografía es muy blanca y eso hace que se resalten aún más las estructuras vasculares y disminuya el contraste pulmonar.

SISTEMÁTICA DE OBSERVACIÓN: DE AFUERA HACIA ADENTRO
Pasos para describir la radiografía de tórax:
Partes blandas torácicas y extratorácicas: Cuello, axilar, hombros, mamas ya abdomen superior.
Estructuras óseas: Vértebras, costillas. Se observa si hay fracturas, huesos supernumerarios, imágenes osteoríticas (masa), etc…
Cúpula (senos) diafragmáticas: El seno diafragmático derecho esté (2 – 3 cm más alto) que el izquierdo, su morfología, si sus ángulos son costodiafragmáticos (si está pegado a las costillas) o cardiofrénicos (si está pegado al corazón), si hay acumulación de líquidos etc…
Mediastino: Ensanchamientos, tiene timo (niños)
Silueta cardiaca: Se observa su tamaño y morfología, si hay alteración a nivel retrocardíaco
Claridad traquebronquial: Posición, calibre y su ángulo carinal
Playas pulmonares: Es el parénquima pulmonar


Comentarios
Publicar un comentario